
The Unequal Burden of Early Dementia on Black Americans and How We Can Change It
Black Americans face higher hurdles in diagnosis and treatment of frontotemporal dementia, the most common form of dementia for people under 60

The Unequal Burden of Early Dementia on Black Americans and How We Can Change It
Black Americans face higher hurdles in diagnosis and treatment of frontotemporal dementia, the most common form of dementia for people under 60

A ‘Havana Syndrome’ Investigation in Congress Rests on Politics, Not Science
Lawmakers should look in the mirror if they want answers to who hyped dubious reports of Havana syndrome. Instead they are investigating the spy agencies telling them the truth about the mystery

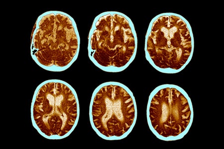
Growth Hormone Injections May Have ‘Seeded’ Alzheimer’s in Some People, Study Suggests
Injections of no-longer-used growth hormone derived from cadavers may have “seeded” Alzheimer’s in some people, small study suggests

Elon Musk’s Neuralink Has Implanted Its First Chip in a Human Brain. What’s Next?
The wealthiest person on Earth has taken the next step toward a commercial brain interface

Zapping the Vagus Nerve Could Relieve Some Long COVID Symptoms
Ongoing research shows electrical vagus nerve stimulators could relieve some long COVID symptoms. But are the expensive devices worth the price?

A Rare Visual Disorder Twists Faces Out of Shape
New studies unlock the mysteries of prosopometamorphopsia, a disorder that distorts faces. One woman’s condition improves when she wears orange-tinted glasses

Could Blood Transfusions and Tissue Transplants Spread Certain Dementias?
Scattered evidence suggests that aberrant proteins act as “seeds” to transmit neurodegenerative disease, but the jury is still out

Transgender People’s Neurological Needs Are Being Overlooked
Migraine, stroke and epilepsy disproportionately affect members of the transgender community—but neurologists are often unprepared to respond

How Does Your Brain Remember and Retrieve Words?
Here's a look at how the brain uses its mental dictionary to remember and retrieve language

Man with Parkinson’s Walks Smoothly thanks to an Experimental Spinal Implant
Electrical stimulation to the lower spine has improved the mobility of a man with Parkinson’s disease for the past two years, but researchers say larger clinical trials are needed to assess the device

Scientists Tickle Rats and Discover Brain’s ‘Play Spot’
By inhibiting part of rats’ brain stem, scientists may have found the play center of the brain

How Dangerous Are Soccer Concussions? They May Cause Lasting Damage
As the 2023 Women’s World Cup kicks off, repeated concussions and head injuries in the sport raise discussion about the lifelong consequences on the brain